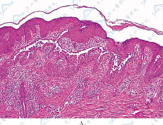
又名线状黑利-黑利病(linear Hailey-Hailey disease),为一种特殊形态的表皮痣。边界清楚的线状红斑,斑块上有群集的水疱,疱破裂后形成糜烂面、结痂(图3-13-33)。具有家族性慢性良性
1970年Grover首先报道本病。因此又名格罗弗病(Grover's disease)、丘疹性棘层松解性皮病(papular acantholytic dermatosis)。主要侵犯中年或老年人的躯干部位,典型皮损为瘙痒性