天山医学院
三
锁
X
#葡萄膜炎
检索
葡萄膜炎
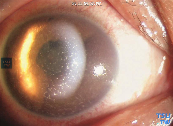
葡萄膜炎引起的角膜内皮变性和角膜水肿
葡萄膜炎引起的角膜内皮变性和角膜水肿
严重的葡萄膜炎可引起角膜内皮细胞的损害,致角膜水肿,患者可有眼红、畏光、流泪等症状,眼部检查可见角膜缘血管扩张,角膜后KP等(下图)。图A. 反复发作的葡萄膜炎,虹膜后粘连,纹理不
1
顶部