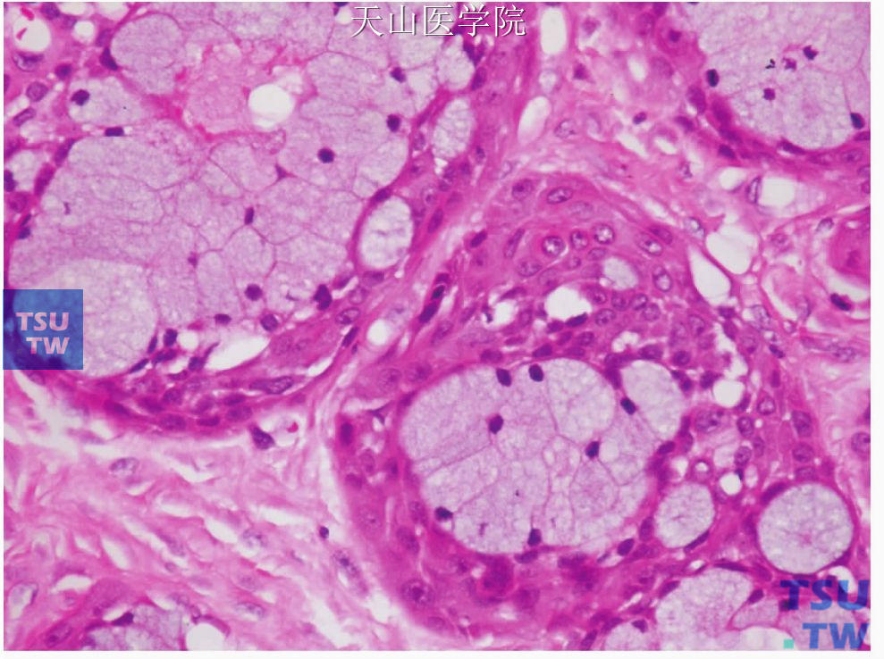
黏液表皮样癌(mucoepidermoid carcinoma)的细胞涂片可以看到如病理组织切片中所见到的三种细胞类型:黏液细胞、表皮样细胞和中间细胞。黏液细胞呈圆形或卵圆形,细胞核小,居中或偏
黏液表皮样癌(mucoepidermoid carcinoma,MEC)是由不同比例的黏液细胞、中间细胞、表皮样细胞构成的恶性肿瘤。有时含有柱状细胞、透明细胞偶尔还有嗜酸细胞,常呈囊性生长。黏液