麻风是由麻风分枝杆菌引起的一种慢性传染病,主要侵犯人的皮肤和周围神经,至人残疾。1985~2000年的15年间,全球麻风发现病例数及发现率基本保持稳定,且1995年以后上升,1998年达到高峰,以后稳定在75万例左右,2005年降至29.6万例。
麻风是由麻风分枝杆菌引起的一种慢性传染病,主要侵犯人的皮肤和周围神经。1985~2000年的15年间,全球麻风发现病例数及发现率基本保持稳定,且1995年以后上升,1998年达到高峰,以后稳
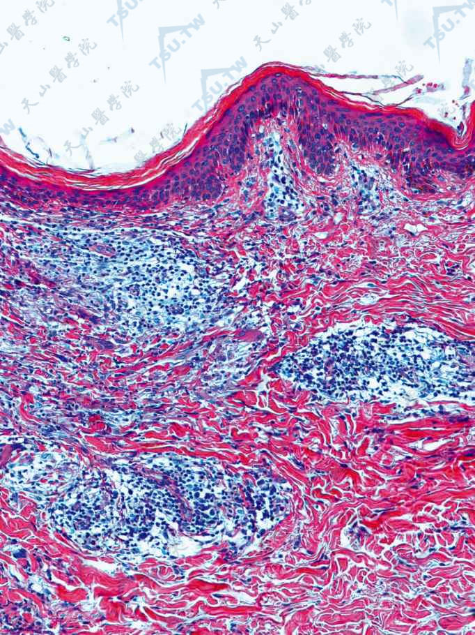
1麻风分枝杆菌(麻风杆菌)(mycobacterium leprae),是麻风的病原菌,系由挪威学者汉森于1873年发现。1879年德国学者奈瑟等用抗酸染色法予以确认。一、麻风杆菌的形态和染色特点:麻风皮
2麻风的潜伏期:为2~5年,短者3个月,长者可在10年以上。麻风潜伏期的长短往往与暴露的型别有关,长期暴露于瘤型麻风的儿童接触者,其潜伏期为9个月至6年。有的潜伏期可长达20年。麻风
4在麻风临床表现中,几乎所有患者均具有不同程度的周围神经损害,但神经粗大的出现一般比皮损迟。受侵犯的周围神经除皮神经外,一般最多的是尺神经、腓总神经和耳大神经(图3-3-9),其
6麻风反应是指在麻风的慢性过程中,由于免疫状态的改变而突然发生的病情活跃或加剧,如原有皮损急剧红肿、扩展,骤然出现许多新皮损,或兼有剧烈的周围神经肿痛、虹膜睫状体炎、淋巴
8联合化疗联合化疗(multidrug therapy,MDT)由于氨苯砜耐药病例及其他抗麻风药物耐药病例的出现,单用任一抗麻风药物治疗均可能产生耐药性,因此WHO化疗研究组于1981年推荐对麻风采
11